詰め物・被せ物について
むし歯治療で削った部分や欠けてしまった歯を修復するために使用される補綴物が「詰め物・被せ物」です。これらは歯の機能回復だけでなく、見た目の美しさも重要な要素です。詰め物や被せ物が気になって「笑顔に自信が持てない」「人前で話しづらい」といった悩みを抱える方も多くいらっしゃいます。
福岡市東区のスマイルライン歯科・矯正歯科アイランドシティでは、患者さん一人ひとりの症状に合わせて最適な詰め物・被せ物を提案し、見た目の自然さにも配慮した治療を提供しています。また、詰め物や被せ物の素材によって耐久性が異なるため、患者さんのライフスタイルや好みに合わせて最適な選択肢をご案内します。
補綴物の種類
インレー
小さなむし歯で削った部分を補う際に使用するのがインレーです。
保険診療の場合、銀色の金属製のインレーや、合成樹脂でできたプラスチック製の「レジンインレー」が一般的です。
クラウン
削る範囲が大きいむし歯にはクラウンを用います。
保険適用では銀色の金属製クラウンが一般的です。歯全体を覆うため、特に大きな補修が必要な場合に適しています。
セレックシステム
最短1日でセラミック製の詰め物・被せ物が完成
当院では「セレックシステム」を導入し、最短1日でセラミック製の詰め物・被せ物を提供することができます。従来のような粘土状の素材での型取りが不要で、3D光学カメラを用いて口腔内をスキャンするだけで型取りが完了します。セレックシステムの導入により、従来よりも短時間で高精度なセラミック製の補綴物が院内で製作できるため、患者さんの治療にかかる時間やコストを軽減し、型取りの不快感も最小限に抑えることができます。
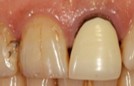
金属のかぶせ物の中がむし歯になることがあります
金属の詰め物、かぶせ物はゆがみ、変形、ズレなどにより隙間ができ、むし歯になっている可能性があります

-
セレックのセラミックの歯は、なぜむし歯になりにくいのか?
-
天然歯は、時間の経過とともに徐々にすり減っていきます、金属の被せものと天然歯の硬さが違うので間にすき間が生まれ、そこからむし歯が発生してしまいます。
セレックのセラミックは、周りの天然歯と同程度にすり減ってくれる性質があるので、天然歯とセラミックの間にすき間が生じることがほとんどありません。そのため、むし歯になりにくいのです。
また、治療当日に完成するので、仮歯や仮の詰めものを付ける必要がなく、むし歯菌の侵入を最小限に抑えることができます。
-
セラミックは金属アレルギーの心配がありません。
-
生体親和性の高いセラミックは、金属アレルギーにならず、変色してしまう心配もございませんので、安心・安全、身体にやさしい素材です。


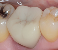
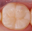
セレック治療のメリット
1Day治療で迅速な修復が可能
セレックシステムでは、専用の3D光学カメラでお口の中をスキャンし、そのデータをもとにコンピュータが精密に設計。さらに、院内に設置されたミリングマシンが自動的にセラミック材料を削り出し、わずか30〜60分で詰め物や被せ物を完成させます。これにより、1回の通院で治療が完了するため、患者さんの負担を軽減します。
高品質なセラミック素材を使用
修復物には、耐久性と美しさを兼ね備えた上質なセラミックブロックを使用しています。このセラミックは生体親和性が高く、天然歯に近い強度を持つため、自然な噛み心地を実感できます。また、見た目も自然で美しく、15年後の残存率が約93%と非常に高い耐久性を誇ります。金属アレルギーの心配もないので、安心して使用できます。
コストパフォーマンスの高い
セレック治療では歯科技工士の手作業を必要としないため、従来の方法と比較して費用を抑えることが可能です。患者さんにとって、リーズナブルでありながら高品質な治療を受けられるメリットがあります。
自費と保険の補綴物の違い
補綴物には保険が適用されるものと、適用されない自費のものがあります。
保険の補綴物

主に金銀パラジウム合金という金属が使われ、強度はあるものの、場所によっては見た目が気になることがあります。
また、長期間の使用で腐食が進み、歯と補綴物の間に隙間ができてむし歯が再発するリスクや、金属アレルギーのリスクがある点に注意が必要です。
自費の補綴物

自費での補綴物治療には、保険適用外の高品質な材料を使用しており、主にセラミックや貴金属が用いられます。
これらの材料は身体に優しく、特にセラミックは歯の色や質感を自然に再現できるため、見た目の美しさも重視する治療法として人気です。
セラミック治療
以前はむし歯治療の詰め物や被せ物に銀歯が多用されていましたが、見た目が気になる方や二次むし歯のリスクが高いことから、セラミック治療を選ぶ方が増えています。セラミックは、自然な見た目を実現し、細菌が付着しにくいため、二次むし歯や金属アレルギーのリスクも少なくなります。
セラミックの特徴
Point.1透明感のある白さ
セラミックは天然歯に近い透明感と色調を持ち、他の歯と馴染むため見分けがつかないほど自然な仕上がりです。特に前歯など目立つ部分の治療に最適です。
Point.2経年劣化しにくい
セラミックは陶器由来の素材で、長期間使用しても変色や劣化が少なく、しっかりとメンテナンスをすれば美しい状態が保たれます。
Point.3歯周病予防にも有効
セラミックは着色しにくい特性があり、コーヒーやワインなどを飲んでも色移りしにくいです。また、歯垢も付着しにくいため、むし歯や歯周病の予防に役立ちます。
金属を使用しないメタルフリー治療
メタルフリー治療とは、金属を一切使用しない歯科治療で、セラミックなどの生体に優しい材料を用います。金属アレルギーのリスクを抑え、時間経過による歯ぐきの黒ずみやむし歯再発のリスクも低減します。口元の見た目にも優れ、銀歯が目立つ心配もありません。
ただし、メタルフリー治療は自由診療のため、費用がやや高くなります。患者さんのご希望に沿い、機能性・審美性・費用面をふまえて最適な治療法をご提案いたします。
詰め物(インレー)の種類
詰め物治療
プレミアムインレー
■色づけを行うことにより天然歯に近い自然な色味を再現できます。
■変色しないため、高い審美性を持ちます。
■汚れ(プラーク)がつきにくいです。
■強度と美しさを兼ね備えています。
■材質はジルコニアもしくはセラミックになります。
| 価格(税抜) | 適合性 | 審美性 | 安全性 | 耐久性 | 保証 |
| 85,000円 | ★★★★★ | ★★★★★ | ★★★★★ | ★★★★★ | 2年 |
グラデーションインレー
■周りの歯にある程度色を合わせることができます。
■変色しないため、高い審美性を持ちます。
■汚れ(プラーク)がつきにくいです。
■強度を兼ね備えています。
■材質はジルコニアもしくはセラミックになります。
| 価格(税抜) | 適合性 | 審美性 | 安全性 | 耐久性 | 保証 |
| 75,000円 | ★★★★★ | ★★★★ | ★★★★★ | ★★★★★ | 1年 |
精密CR充填
■必要な部分のみを最小限精密に切削します。
■保険外の上質な材料を時間をかけて丁寧にマイクロスコープやルーペを使用し詰めます。
■その日のうちに詰めものが入ります。
■保険CR充填と比較して再度虫歯になりにくく、歯に優しい治療方法です。
■レジンアレルギーが出ることがあります。
| 価格(税抜) | 適合性 | 審美性 | 安全性 | 耐久性 | 保証 |
| 65,000円 | ★★★★★ | ★★★★ | ★★★★★ | ★★★★ | 1年 |
CR充填
■汚れ(プラーク)がつきやすいです。
■プラスチックなので変色します。
■耐久性に劣り、再度虫歯になりやすいです。
■レジンアレルギーが出ることがあります。
| 価格(税抜) | 適合性 | 審美性 | 安全性 | 耐久性 | 保証 |
| 保険適応 | ★ | ★ | ★ | ★ | 保険適応 |
詰め物(広範囲)治療
プレミアムインレー・アンレー
■歯を削る量が少なくなります。
■色づけを行うことにより天然歯に近い自然な色味を再現できます。
■変色しないため、高い審美性を持ちます。
■汚れ(プラーク)がつきにくいです。
■強度と美しさを兼ね備えています。
■材質はジルコニアもしくはセラミックになります。
| 価格(税抜) | 適合性 | 審美性 | 安全性 | 耐久性 | 保証 |
| 85,000円 | ★★★★★ | ★★★★★ | ★★★★★ | ★★★★★ | 2年 |
グラデーションインレー・アンレー
■歯を削る量が少なくなります。
■周りの歯にある程度色を合わせることができます。
■変色しないため、高い審美性を持ちます。
■汚れ(プラーク)がつきにくいです。
■強度を兼ね備えています。
■材質はジルコニアもしくはセラミックになります。
| 価格(税抜) | 適合性 | 審美性 | 安全性 | 耐久性 | 保証 |
| 75,000円 | ★★★★★ | ★★★★ | ★★★★★ | ★★★★★ | 1年 |
銀歯
■歯を削る量が多くなります。
■汚れ(プラーク)がつきやすいです。
■歯茎が変色することがあります。
■適合精度は劣り、熱を通しやすいので歯のしみる症状が長期間続きます。
■約3年で歯と隙間が生じてきます。
■金属アレルギーが出ることがあります。
| 価格(税抜) | 適合性 | 審美性 | 安全性 | 耐久性 | 保証 |
| 保険適応 | ★ | ★ | ★ | ★★ | なし |
CAD/CAM冠
■歯を削る量が多くなります。
■汚れ(プラーク)がつきやすいです。
■プラスチックなので変色しやすいです。
■割れやすく、外れやすいです。
■被せ物がすり減りやすいです。
■レジンアレルギーが出ることがあります。
| 価格(税抜) | 適合性 | 審美性 | 安全性 | 耐久性 | 保証 |
| 上下4・5・6番 のみ保険適応 |
★★ | ★ | ★ | ★ | なし |
被せ物(クラウン)の種類
前歯被せ物治療
ジルコニアセラミックラウン
■天然歯の色に最も近く、自然な色味・透明感・強度を兼ね備えています。
■汚れ(プラーク)がつきにくいです。
■ジルコニアとセラミックを組み合わせて製作するので、強度と美しさを兼ね備えています。
| 価格(税抜) | 適合性 | 審美性 | 安全性 | 耐久性 | 保証 |
| 120,000円 | ★★★★★ | ★★★★★ | ★★★★★ | ★★★★★ | 3年 |
プレミアムクラウン
■色づけを行うことによりグラデーションと比較して色が自然になります。
■汚れ(プラーク)がつきにくいです。
■材質はジルコニアもしくはセラミックになります。
■ラミネートベニア治療も同額になります。
| 価格(税抜) | 適合性 | 審美性 | 安全性 | 耐久性 | 保証 |
| 100,000円 | ★★★★ | ★★★★ | ★★★★★ | ★★★★ | 2年 |
グラデーションクラウン
■周りの歯にある程度色を合わせることができます。
■汚れ(プラーク)がつきにくいです。
■材質はジルコニアもしくはセラミックになります。
■ラミネートベニア治療も同額になります。
| 価格(税抜) | 適合性 | 審美性 | 安全性 | 耐久性 | 保証 |
| 90,000円 | ★★★★ | ★★★ | ★★★★★ | ★★★★ | 2年 |
レジン前装冠
■汚れ(プラーク)がつきやすいです。
■プラスチックなので変色します。
■歯茎が黒く変色することがあります。
■適合精度は劣ります。
■金属アレルギーが出ることがあります。
| 価格(税抜) | 適合性 | 審美性 | 安全性 | 耐久性 | 保証 |
| 保険適応 | ★ | ★ | ★ | ★ | なし |
奥歯被せ物治療
ジルコニアセラミッククラウン
■天然歯の色に最も近く、自然な色味・透明感・強度を兼ね備えています。
■汚れ(プラーク)がつきにくいです。
■ジルコニアとセラミックを組み合わせて製作するので、強度と美しさを兼ね備えています。
| 価格(税抜) | 適合性 | 審美性 | 安全性 | 耐久性 | 保証 |
| 120,000円 | ★★★★★ | ★★★★★ | ★★★★★ | ★★★★★ | 3年 |
プレミアムクラウン
■色づけを行うことによりグラデーションと比較して色が自然になります。
■汚れ(プラーク)がつきにくいです。
■材質はジルコニアもしくはセラミックになります。
| 価格(税抜) | 適合性 | 審美性 | 安全性 | 耐久性 | 保証 |
| 100,000円 | ★★★★ | ★★★★ | ★★★★★ | ★★★★ | 2年 |
グラデーションクラウン
■周りの歯にある程度色を合わせることができます。
■汚れ(プラーク)がつきにくいです。
■材質はジルコニアもしくはセラミックになります。
■オーバーレイ治療も同額になります。
| 価格(税抜) | 適合性 | 審美性 | 安全性 | 耐久性 | 保証 |
| 90,000円 | ★★★★ | ★★★ | ★★★★★ | ★★★★ | 2年 |
銀歯
■歯を削る量が多くなります。
■汚れ(プラーク)がつきやすいです。
■歯茎が変色することがあります。
■適合精度は劣り、熱を通しやすいので歯のしみる症状が長期間続きます。
■約3年で歯と隙間が生じてきます。
■金属アレルギーが出ることがあります。
| 価格(税抜) | 適合性 | 審美性 | 安全性 | 耐久性 | 保証 |
| 保険適応 | ★ | ★ | ★ | ★★ | なし |
CAD/CAM冠
■歯を削る量が多くなります。
■汚れ(プラーク)がつきやすいです。
■プラスチックなので変色しやすいです。
■割れやすく、外れやすいです。
■被せ物がすり減りやすい。
■レジンアレルギーが出ることがあります。
| 価格(税抜) | 適合性 | 審美性 | 安全性 | 耐久性 | 保証 |
| 上下4・5・6番 のみ保険適応 |
★★ | ★ | ★ | ★ | なし |